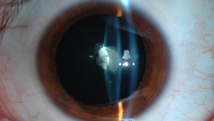
¿Qué es la catarata congénita?
Hablamos de catarata congénita cuando un niño nace con catarata, es decir, que nace con el cristalino opaco y por lo tanto no le permite ver. La cataratas comprometen la visión si son totales, o centrales y de tamaño importante como para cubrir el área pupilar (área central del ojo a través de la cual entra la luz).
Pueden ser unilaterales o bilaterales, ir acompañadas o no de otras anomalías oculares ( córnea, retina..) y frecuentemente son hereditarias. Aunque también existen otras causas como infecciones intrauterinas, síndromes cromosómicos, enfermedades metabólicas y renales. El oftalmólogo conjuntamente con el pediatra deberán descartar dichas posibilidades.
¿Por qué se produce?
El envejecimiento es la principal causa de catarata, ya que con los años nuestro cristalino se vuelve más opaco. Sin embargo, existen otros factores ajenos a la edad, como traumatismos, enfermedades oculares o del organismo, consumo de ciertos fármacos o condicionantes genéticos. En el caso de la catarata congénita se presenta desde el nacimiento.
¿Cómo se puede prevenir?
Las cataratas hereditarias o las que surgen por causa de otras patologías oculares asociadas, no se pueden prevenir. Hay que tener en cuenta que las revisiones oftalmológicas son de gran importancia, ya que en las primeras semanas de vida el niño desarrolla su capacidad visual correctamente y una detección temprana es clave para poder aplicar un tratamiento correctivo a tiempo. Por eso, se recomienda una primera exploración ocular tras el nacimiento para descartar la catarata y otras anomalías congénitas de la visión.
Síntomas
En algunos casos es el pediatra o los mismos padres los que detectan una mancha blanquecina en el área pupilar. Otras veces la baja visión del ojo comportará un estrabismo (desviación ocular) o nistagmus (movimiento o temblor del ojo). Ante cualquiera de estos síntomas se debe llevar al niño a un oftalmólogo.
Tratamientos asociados
Las primeras semanas de vida son de gran importancia para la estimulación visual y para que no se desencadenen los mecanismos cerebrales de ojo vago. Necesitamos recibir estímulos visuales al nacimiento para iniciar el desarrollo visual de forma correcta. Por lo tanto la velocidad en el tratamiento es un factor muy importante.
Testimonio
La misma tarde de la intervención ya veía bien y aún hoy, 17 años después, sigo sin utilizar gafas.
Amèlia Petit
Barcelona
Especialistas que tratan esta patología
Preguntas frecuentes
Cuando la ptosis afecta a la visión o provoca molestias funcionales o psicológicas, el momento adecuado es cuanto antes. En niños, es esencial intervenir a tiempo si existe riesgo de ambliopía. En adultos, la decisión se toma tras una evaluación médica personalizada, teniendo en cuenta las necesidades del paciente y los problemas visuales o estéticos que presente.
El hecho de padecer desprendimiento de vítreo no tendría por qué perjudicarte a la hora de operarte de la catarata. De hecho, se calcula que la mitad de las personas de más de 65 años padecen cataratas y la mayor parte de ellas tienen, además, desprendimiento de vítreo. Por lo que se refiere al desprendimiento de retina, si está operado con éxito y convenientemente, no supone tampoco un factor de riesgo añadido en una cirugía de cataratas.
Para mayor seguridad, sería conveniente valorar si existen lesiones en la retina que puedan producir complicaciones en el momento de operar la catarata, por lo que se recomendaría una revisión con un especialista en retina antes de someterse a cirugía de catarata.
IMO Grupo Miranza Barcelona
Josep María Lladó, 3
08035 Barcelona
Tel: 934 000 700
E-mail: informacion@imo.es
Ver mapa en Google Maps
En coche
Coordenadas navegador GPS:
41º 24’ 38” N – 02º 07’ 29” E
Salida 7 de la Ronda de Dalt (lado montaña). La clínica cuenta con un aparcamiento de más de 200 plazas.
En bus
Autobús H2: Rotonda de Bellesguard, parada 1540
Autobús 196: Josep Maria Lladó-Bellesguard, parada 3191
Autobuses H2, 123, 196: Ronda de Dalt – Bellesguard, parada 0071
Cómo llegar a IMO desde:
IMO Grupo Miranza Madrid
C/ Valle de Pinares Llanos, 3
28035 Madrid
Tel: 910 783 783
E-mail: administracion.madrid@imo.es
Transporte público
Metro Lacoma (línea 7)
Autobuses:
- Líneas 49 y 64, parada “Senda del Infante”
- Línea N21, parada «Metro Lacoma»
Horarios
Atención al paciente: de lunes a viernes, de 8 h a 21 h
IMO Grupo Miranza Andorra
Av. de les Nacions Unides, 17
AD700 Escaldes-Engordany, Andorra
Tel: (+376) 88 55 44
Ver mapa en Google Maps
Miranza Manresa (Centro adscrito a IMO)
C/ Carrasco i Formiguera, 33 (Baixos)
08242 – Manresa
Tel: 938 749 160
Ver mapa en Google Maps
Transporte público
FGC. Línea R5 y R50 dirección Manresa. Estación: Baixador de Manresa
Horarios
De Lunes a viernes de 9:00 a 19:00 h