Tumores con afectación neuroftalmológica

SOLICITA VISITA SOLICITA VIDEOCONSULTA

¿Qué son los tumores con afectación neuroftalmológica?

Los tumores con afectación neuroftalmológica afectan al cerebro y al nervio óptico. Muchos de ellos son benignos y de crecimiento lento, mientras que otros son malignos con un peor pronóstico.

Los más frecuentes son:

  • Los gliomas, un tipo de tumor benigno que aparece en el cerebro y que también puede crecer en los nervios ópticos.
  • Los meningiomas de la vaina del nervio óptico, un tipo de tumor benigno más frecuente en mujeres de edad media-avanzada
  • Los tumores cerebrales, que causan síntomas oftalmológicos. Algunos de los más habituales son los tumores asociados a enfermedades de la hipófisis, también llamada glándula pituitaria (estrechamente relacionados con la producción y regulación de hormonas). Estos suelen ser benignos como los adenomas (que pueden o no producir hormonas), aunque en raras ocasiones pueden ser malignos como por ejemplo un adenocarcinoma. No obstante, la vía visual es muy extensa y recorre todo el cerebro, de modo que cualquier tumor cerebral que la afecte puede tener una expresión neuroftalmológica.

¿Qué los provoca?

La causa de la mayoría de estos tumores se desconoce.

En el caso de los tumores relacionados con enfermedades de la hipófisis y del hipotálamo, se estima que algunos de ellos son de tipo hereditario. En este sentido, se sospecha que los factores genéticos juegan un importante papel en su aparición.

Síntomas

Muchos de los tumores que afectan al nervio óptico se presentan antes de los 5 años de vida. Otros, sin embargo, pueden aparecer a cualquier edad.

Los síntomas comunes más frecuentes son:

  • Dolor de cabeza
  • Pérdida de visión
  • Diplopía o visión doble
  • Fotofobia o molestias ante la luz
  • Dificultad para realizar actividades diarias (lectura, uso de dispositivos electrónicos, deportes, etc.)
  • Desorientación y/o tropiezos
  • Problemas de coordinación y otros síntomas neurológicos

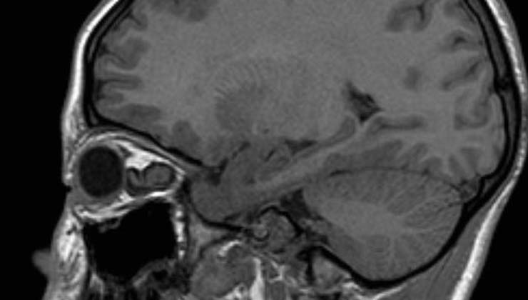
¿Cómo se diagnostican?

Para diagnosticar los tumores con afectación neuroftalmológica es necesaria una completa exploración oftalmológica, que suele incluir:

En paralelo, son necesarias pruebas complementarias, como una resonancia magnética o la tomografía computerizada.

Tratamientos

Si el tumor no afecta a la visión del paciente, es benigno y su crecimiento es lento, no suele ser necesario un tratamiento concreto y se realiza vigilancia. No obstante, se recomiendan revisiones periódicas con el oftalmólogo para controlar su evolución y posible crecimiento.

Por otro lado, otros tumores requieren ser extirpados para preservar la visión o la vida del paciente. En ocasiones, tras la cirugía es preciso completar el tratamiento con sesiones de radioterapia y/o quimioterapia.

IMO Grupo Miranza Barcelona

Josep María Lladó, 3
08035 Barcelona
Tel: 934 000 700
E-mail: informacion@imo.es
Ver mapa en Google Maps

En coche

Coordenadas navegador GPS:
41º 24’ 38” N – 02º 07’ 29” E

Salida 7 de la Ronda de Dalt (lado montaña). La clínica cuenta con un aparcamiento de más de 200 plazas.

En bus

Autobús H2: Rotonda de Bellesguard, parada 1540

Autobús 196: Josep Maria Lladó-Bellesguard, parada 3191

Autobuses H2, 123, 196: Ronda de Dalt – Bellesguard, parada 0071

IMO Grupo Miranza Madrid

C/ Valle de Pinares Llanos, 3
28035 Madrid
Tel: 910 783 783

E-mail: administracion.madrid@imo.es

Ver mapa en Google Maps

Transporte público

Metro Lacoma (línea 7)
Autobuses:

  • Líneas 49 y 64, parada “Senda del Infante”
  • Línea N21, parada «Metro Lacoma»

Horarios

Atención al paciente: de lunes a viernes, de 8 h a 21 h

IMO Grupo Miranza Andorra

Av. de les Nacions Unides, 17
AD700 Escaldes-Engordany, Andorra
Tel: (+376) 88 55 44
Ver mapa en Google Maps

Miranza Manresa (Centro adscrito a IMO)

C/ Carrasco i Formiguera, 33 (Baixos)
08242 – Manresa
Tel: 938 749 160
Ver mapa en Google Maps

Transporte público

FGC. Línea R5 y R50 dirección Manresa. Estación: Baixador de Manresa

Horarios

De Lunes a viernes de 9:00 a 19:00 h

Pide cita

Te llamamos

Indícanos los siguientes datos para que podamos llamarte y ayudarte en todo lo que necesites.