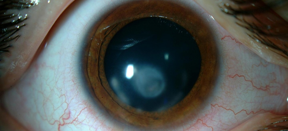
¿Qué son las opacidades corneales?
La córnea es, en situación normal, una estructura transparente y regular. Sin embargo, diferentes enfermedades (tanto congénitas como adquiridas), infecciones, inflamaciones, traumatismos, etc. pueden acabar en una pérdida focal o difusa de su transparencia. Las cicatrices que se forman en la córnea como consecuencia de estos problemas son opacas y dificultan la visión.
¿Cómo se diagnostican?
Se detectan mediante exploración oftalmológica.
Síntomas
Según la causa y el grado de opacidad, el paciente puede experimentar diferentes síntomas, como visión borrosa en caso de que las cicatrices corneales afecten al eje visual, es decir, se encuentren delante de la pupila. Otros signos que pueden notarse son pérdida de visión, sensación de cuerpo extraño, sensibilidad a la luz, etc.
Tratamientos asociados
Existen diferentes opciones para tratar las opacidades corneales, dependiendo de su causa y del grado de afectación. En casos severos e irreversibles el tratamiento requerido suele ser el trasplante de córnea, ya sea total o parcial.
Especialistas que tratan esta patología
Preguntas frecuentes
La mayoría de los pacientes que consultan por un rechazo de la córnea lo hacen por disminución de la visión. En ocasiones, puede producir sensación de cuerpo extraño o sensación de deslumbramiento o molestia de la luz.
Debe evitar hacer grandes esfuerzos y sobre todo, evitar los traumatismos directos al ojo.
Cuando la ptosis afecta a la visión o provoca molestias funcionales o psicológicas, el momento adecuado es cuanto antes. En niños, es esencial intervenir a tiempo si existe riesgo de ambliopía. En adultos, la decisión se toma tras una evaluación médica personalizada, teniendo en cuenta las necesidades del paciente y los problemas visuales o estéticos que presente.
IMO Grupo Miranza Barcelona
Josep María Lladó, 3
08035 Barcelona
Tel: 934 000 700
E-mail: informacion@imo.es
Ver mapa en Google Maps
En coche
Coordenadas navegador GPS:
41º 24’ 38” N – 02º 07’ 29” E
Salida 7 de la Ronda de Dalt (lado montaña). La clínica cuenta con un aparcamiento de más de 200 plazas.
En bus
Autobús H2: Rotonda de Bellesguard, parada 1540
Autobús 196: Josep Maria Lladó-Bellesguard, parada 3191
Autobuses H2, 123, 196: Ronda de Dalt – Bellesguard, parada 0071
Cómo llegar a IMO desde:
IMO Grupo Miranza Madrid
C/ Valle de Pinares Llanos, 3
28035 Madrid
Tel: 910 783 783
E-mail: administracion.madrid@imo.es
Transporte público
Metro Lacoma (línea 7)
Autobuses:
- Líneas 49 y 64, parada “Senda del Infante”
- Línea N21, parada «Metro Lacoma»
Horarios
Atención al paciente: de lunes a viernes, de 8 h a 21 h
IMO Grupo Miranza Andorra
Av. de les Nacions Unides, 17
AD700 Escaldes-Engordany, Andorra
Tel: (+376) 88 55 44
Ver mapa en Google Maps
Miranza Manresa (Centro adscrito a IMO)
C/ Carrasco i Formiguera, 33 (Baixos)
08242 – Manresa
Tel: 938 749 160
Ver mapa en Google Maps
Transporte público
FGC. Línea R5 y R50 dirección Manresa. Estación: Baixador de Manresa
Horarios
De Lunes a viernes de 9:00 a 19:00 h